Focus séance A5 Points de vue / Pluridisciplinaire

Ortho-Paro : une équipe gagnante / Le syndrome du fil

Mardi 25 novembre – 14h-15h30
Responsable scientifique : Virginie Monnet-Corti
Intervenants : Imen Bouallegue – Antoine Popelut – Marie Medio – Sophie-Myriam Dridi

Syndrome du fil : le décrypter pour mieux le traiter
Pr Sophie-Myriam Dridi

Le syndrome du fil (SF) est une complication post orthodontique peu ou pas connue de nombreux praticiens. Pourtant, sa fréquence est loin d’être négligeable. En France, une étude récente indique une prévalence de 10% au sein d’une population de jeunes individus (Charavet et al. 2024).

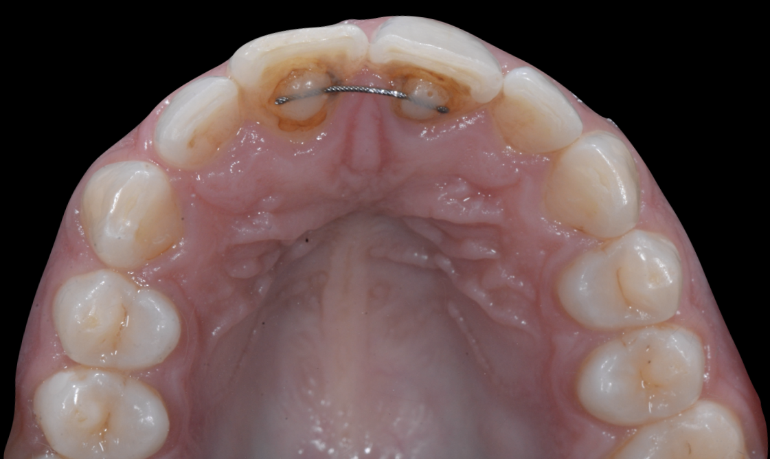
De manière consensuelle, ce syndrome définit des déplacements dentaires aberrants, inattendus, inexpliqués ou excessifs, concernant des dents contenues par un fil de contention post orthodontique intact (Charavet et al. 2022). Il s’agit d’un processus chronique, évolutif, généralement asymptomatique, aboutissant à une nouvelle malocclusion qui ne résulte pas d’une récidive ou d’un processus physiologique d’adaptation des complexes dento-parodontaux (Figures 1). Ses causes seraient multiples et restent à éclaircir.

Figures 1 : syndrome du fil détecté 4 ans après la pose de la contention collée mandibulaire. Les incisives encore contenues se sont versées, soit en vestibulaire, soit en lingual. Il ne s’agit pas d’une récidive.

Cette pathologie peut apparaitre plusieurs mois ou années après la fin du traitement orthodontique, aussi bien au maxillaire qu’à la mandibule et quelle que soit la nature des contentions collées. Toutefois, celles qui sont composées de fils ronds multibrins torsadés en acier inoxydable semblent représenter un facteur de risque potentiel (Charavet et al. 2024).

Les conséquences cliniques du SF sont doubles, à la fois dentaires et parodontales (Masucci et al. 2020). Sur le plan dentaire, plusieurs types de déplacements sont régulièrement mis en évidence (Roussarie et Douady 2015) (Figures 2), lesquels aboutissent à une perte de l’alignement des dents, voire à une ouverture des espaces interdentaires, et dans les cas extrêmes à une sortie des dents de leur enveloppe osseuse (Figure 3). Sur le plan parodontal, les destructions tissulaires se caractérisent essentiellement par un amincissement de la gencive et la formation de récessions gingivales évolutives (Dridi et al. 2022).

Figures 2 : syndrome du fil maxillaire : version palatine de la 11 et version vestibulaire de la 21 (Documents : Pr Charavet Carole)

Figure 3 : sortie progressive de l’enveloppe osseuse de la 31, soumise au SF.

La prise en charge précoce du SF est donc nécessaire. Tous les odontologistes, qu’ils soient omnipraticiens ou spécialistes, sont concernés par cette problématique et les patients doivent être informés de l’existence de ce risque lors des suivis thérapeutiques. En effet, par crainte de voir leurs incisives se déplacer, la plupart d’entre eux préfèrent garder leurs contentions collées le plus longtemps possible et ne sont pas conscients des possibles conséquences délétères, fonctionnelles et/ou esthétiques, de ces dispositifs.

Dans cette optique, la démarche diagnostique est essentielle. Or, en pratique, celle-ci peut s’avérer difficile car différents degrés de sévérité sont mis en évidence (Charavet et al. 2022, Charavet et al. 2023) et plusieurs facteurs de risque sont suspectés. Certes, des auteurs ont proposé de tenir compte de certains critères cliniques, mais leur classement, importance et spécificité n’ont pas été déterminés.

Dès lors, au travers de nombreuses situations cliniques, l’objectif de cette conférence sera de clarifier cette démarche diagnostique afin de permettre le dépistage précoce du SF par le plus grand nombre, d’éviter les errances médicales et/ou les erreurs thérapeutiques (Figure 4), d’améliorer les relations professionnelles entre les omnipraticiens/orthodontistes/parodontistes et d’orienter efficacement la démarche thérapeutique, qui se doit d’être personnalisée.

Figure 4 : échec d’une tentative de recouvrement radiculaire dans un contexte de syndrome du fil mandibulaire non diagnostiqué.

Bibliographie

  • Charavet, C., Israel, N., Oueiss, A., Masucci, C., Fontas, E., & Dridi, S. M. (2024). What are the prevalence and risk factors associated with wire syndrome in dental students? A cross-sectional study. International orthodontics, 22(3), 100899.
  • Charavet, C., Vives, F., Aroca, S., & Dridi, S. M. (2022). « Wire Syndrome » Following Bonded Orthodontic Retainers: A Systematic Review of the Literature. Healthcare (Basel, Switzerland), 10(2), 379.
  • Masucci, C., Browarski, V., Manière-Ezvan, A., & Dridi, S.M. Le « syndrome du fil » de contention collé en orthodontie. L’Information Dentaire n°28 – 22 juillet 2020 (page 30-36).
  • Roussarie, F., & Douady, G. (2015). Effet indésirable des fils de contention collés: Le « syndrome du fil »: 1ère partie. Unwanted tooth movement produced by the bonded retention wires: The “wire syndrom”: First part. Orthop. Dento Faciale ;49:411-426.
  • Dridi, S.M., Vives, F., Aroca, S., & Charavet, C (2022). Le syndrome du fil : définition, étiologies et conduite à tenir. In Récessions gingivales et péri-implantaires : les réponses à vos questions. Editeur Espace ID. 2022. Aroca S et Dridi S.M.
  • Charavet, C., Israël, N., Vives, F., & Dridi, S. M. (2023). Importance of Early Detection of Wire Syndrome: A Case Series Illustrating the Main Stages of the Clinical Gradient. Clinics and practice, 13(5), 1100–1110.
  • Charavet C, Israel N, Vives F, Dridi M. Le syndrome du fil : d’une détection précoce difficile au repérage aisé des cas complexes. L’information dentaire. N°40. 2022.

Ortho-Paro : une équipe gagnante

Séance Points de vue A5
Mardi 25 novembre – 14h-15h30

Voir tout le programme scientifique

Je m’inscris pour me former et visiter l’Exposition